PRESENTACIÓN DE CASO
Combinación de radioterapia y Nimotuzumab en paciente con metástasis cerebral
Combination of radiotherapy and Nimotuzumab in a patient with brain metastasis
Dra. Haslen Hassiul Cáceres Lavernia*, Dra. Elia Nenínger Vinageras**, Dra. Ilsa Sofía del Cristo Domínguez***
*Especialista de Primer Grado en Oncología. Centro Nacional Coordinador de Ensayos Clínicos. La Habana, Cuba. haslen.caceres@infomed.sld.cu. **Doctora en Ciencias. Especialista de Segundo Grado en Oncología. Hospital “Hermanos Almejeiras”. La Habana, Cuba. ***Especialista en Medicina General Integral. Asistente de Investigación Clínica.
RESUMEN
El cáncer de pulmón es la principal causa de muerte por cáncer en el mundo. El 80 % corresponden a carcinomas de células no pequeñas y el 70 % se diagnostican con enfermedad localmente avanzada o metastásica. Las metástasis cerebrales están presentes en el 20-30 % de los pacientes en el momento del diagnóstico, con una mediana de supervivencia sin tratamiento de cuatro meses. Se presenta el caso de un paciente de 53 años con antecedentes de hipertensión arterial, fumador inveterado, que se estudia en el servicio de medicina interna por presentar síntomas neurológicos. Se le realizaron estudios correspondientes, diagnosticándose un carcinoma de pulmón de células no pequeñas con metástasis cerebral. Es valorado en consulta central de oncología, se clasifica como T2a N2 M1b, estadio IV y se propone incluir en el ensayo clínico “Uso del anticuerpo monoclonal hR3 y radioterapia en el tratamiento de pacientes con cáncer de pulmón de células no pequeñas portadores de metástasis cerebral”, indicándose tratamiento con quimioterapia + radioterapia y anticuerpo monoclonal Nimotuzumab, con el cual se encuentra hasta la fecha, destacándose la respuesta positiva al tratamiento, clínica e imagenológica, con una supervivencia superior al promedio de la descrita en la literatura para éstos pacientes y buena calidad de vida.
Palabras clave: CÁNCER DE PULMÓN; METÁSTASIS CEREBRAL; RADIOTERAPIA CRANEAL; NIMOTUZUMAB.
Descriptores: NEOPLASIAS PULMONARES; METÁSTASIS DE LA NEOPLASIA; RADIOTERAPIA/efectos adversos.
SUMMARY
Lung cancer is the main cause of death because of cancer all over the world. The 80 % belong to non-small cell lung cancer and the 70 % are diagnosed with locally advanced or metastatic disease. The brain metastases are present in 20 to 30 % of patients at the moment of diagnosing, with an average of survival without treatment of 4 months. This is a case of a 53-year-old patient with a history of hypertension, being a heavy smoker, who was studied in the internal medicine service for presenting neurological symptoms, undergoing the appropriate studies and being diagnosed with a non-small cell lung cancer with brain metastasis. He was assessed at the oncology central consultation office, being classified as T2a N2 M1b, stage IV and was proposed to be included in the clinical trial "Using the monoclonal antibody hR3 and radiotherapy in the treatment of patients with non-small cell lung cancer carriers of brain metastasis", being indicated chemotherapy + radiotherapy and monoclonal antibody Nimotuzumab, following this treatment up today, emphasizing the positive clinical and imaging response to treatment, with a patients’ survival higher than the one reported in the specialized literature and a good quality of life.
Key words: LUNG CANCER; BRAIN METASTASES; CRANIAL RADIOTHERAPY; NIMOTUZUMAB.
Descriptors: LUNG NEOPLASMS; NEOPLASM METASTASIS; RADIOTHERAPY/adverse effects.
INTRODUCCIÓN
Cada año son diagnosticados 1,2 millones de nuevos casos de cáncer de pulmón en el mundo, siendo la principal causa de muerte. La incidencia del cáncer en Cuba muestra una tendencia hacia el incremento, siendo el cáncer de pulmón el primero en incidencia y mortalidad. El hábito de fumar es el principal factor de riesgo, pero existe de un 15 a un 20 % que aparece en no fumadores. (1, 2) Aproximadamente del 85 al 90 % de los casos con cáncer de pulmón son no microcíticos y alrededor del 70 % de los casos se diagnostican en estadios avanzados, bien localmente o en fase metastásica, donde ya no es posible un tratamiento quirúrgico y donde se intenta buscar una alternativa al tratamiento meramente sintomático, ya que la supervivencia con el mejor tratamiento de soporte es de cuatro a cinco meses. (3)
El cáncer de pulmón de células no pequeñas es el principal tipo de tumor que metastiza a Sistema Nervioso Central (SNC), teniendo en cuenta su alta incidencia. Las metástasis pueden presentarse al debut de la enfermedad o con posterioridad al tratamiento onco-específico. La supervivencia media para los pacientes con metástasis múltiples en cerebro, tratadas con radiación, es de tres a seis meses. (3, 4, 5)
A pesar de los avances en la investigación clínica reciente, los esquemas de quimioterapia normados para el cáncer de pulmón de células no pequeñas (CPCNP) ofrecen una mediana de duración no superior al año. El progreso en el entendimiento de la biología del cáncer y el mecanismo de oncogénesis han permitido el desarrollo de terapias blanco, que bloquean vías de señalización disreguladas y procesos metabólicos que contribuyen a la adquisición del fenotipo del cáncer. El menor perfil de toxicidad, comparado con la quimioterapia convencional, la selectividad de un blanco específico y la disponibilidad de un tratamiento crónico han convertido a estas terapias en los fármacos más promisorios para el tratamiento del CPCNP, tanto como simples agentes, como en combinación con otras modalidades de tratamientos convencionales. (6)
El receptor del factor de crecimiento epidérmico (REGF) ha sido objeto de estudios profundos, debido a la función esencial que ejerce en muchos tipos de tumores humanos. Es una glicoproteína de membrana de 170 kDa, compuesta por tres dominios: un dominio extracelular de unión a ligando, un segmento lipofílico transmembrana y un dominio citoplasmático con actividad tirosina kinasa. El REGF ejerce una función muy importante en varias respuestas fisiológicas asociadas con la regulación de la proliferación, la diferenciación y la supervivencia de las células. Las alteraciones en su fisiología pueden llevar a la génesis y/o progresión de varios tipos de tumores. (7, 8)
Actualmente existen varias estrategias encaminadas a inhibir la función del REGF, tales como: inhibidores de la actividad tirosina kinasa (ITK), anticuerpos acoplados a toxinas, oligonucleótidos represores de la transcripción del gen del REGF, vacunas y anticuerpos monoclonales (AcM), específicos contra el dominio extracelular del receptor o de sus ligandos. Dentro de esta amplia gama de productos los AcM anti-REGF, como el Cetuximab y el Nimotuzumab, y los inhibidores tirosina kinasa (ITK), como el Gefitinib y el Erlotinib, son los más estudiados. (7, 9, 10)
El anticuerpo monoclonal Nimotuzumab es una terapia blanco contra el receptor del factor de crecimiento epidérmico (EGF), que ha demostrado resultados de eficacia en el tratamiento de varios tumores sólidos que sobreexpresan este receptor. Dentro de sus características favorables se encuentra su bajo perfil de toxicidad, lo que permite que pueda ser administrado de forma crónica, sin que esto incremente la toxicidad asociada al tratamiento. (9, 10)
El caso que se presenta resultó interesante, porque se trata de un paciente con diagnóstico de carcinoma de pulmón de células no pequeñas con metástasis cerebral, que posteriormente al tratamiento oncoespecífico ha recibido como terapia de mantenimiento el anticuerpo monoclonal Nimotuzumab, superando su expectativa de vida que, según la clasificación pronóstica para las metástasis cerebrales, le correspondía el grupo I (tabla 1), al que se le atribuye una media de supervivencia en meses de 7,1; acompañado de una buena calidad de vida.
TABLA 1. Clasificación pronóstica de las metástasis cerebrales

PRESENTACIÓN DEL CASO
Paciente masculino de 53 años con antecedentes de hipertensión arterial, fumador inveterado, que ingresó el 5 de noviembre de 2012 en el servicio de medicina interna del hospital por presentar un mes antes de la hospitalización un cuadro neurológico transitorio, que cursó con desviación de la comisura labial, sensación de adormecimiento y lenguaje tropeloso, acompañándose posteriormente de disfagia; se le había realizado un Rx de tórax en su área de salud y se observaba una imagen con tendencia nodular hacia el vértice del pulmón derecho.
Datos relevantes de los complementarios
Tomografía axial computarizada (TAC) de cráneo, 5 de noviembre de 2012, en región frontal alta del lado izquierdo: hay un nódulo hipodenso con edema vecino.
TAC de tórax, 7 de noviembre de 2012: nódulo tumoral lóbulo superior derecho, que mide 3,2 cm de diámetro. Se indican TAC endovenosa, se corrobora lesión tumoral, de borde irregulares y cavitada de 4,6x 3,7 cm. Adenopatías subcarinales que miden 109 x 19 mm.
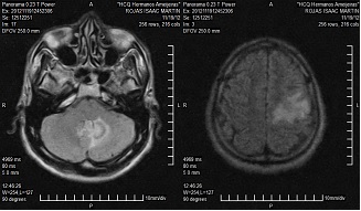
Resonancia magnética nuclear (RNM) de cráneo, 20 de noviembre de 2012: existen dos lesiones expansivas, una región fronto-parietal que mide 16 x 17 mm, rodeada de edema que no muestra efecto de masa, la otra ubicada hacia el cerebelo hemisferio izquierdo que mide 19 x 17 mm con edema (imagen 1).
IMAGEN 1. RNM de cráneo: 20 de noviembre de 2012

Biopsia por aspiración con aguja fina (BAAF) de pulmón, 7 de noviembre de 2012: carcinoma de células no pequeñas, concluyéndose el caso como un carcinoma de pulmón de células no pequeñas con metástasis cerebral.
Es valorado en consulta central de Oncología, se clasifica como T2a N2 M1b, estadio IV y se propone incluir en el ensayo clínico: uso del AcM Hr3y Radioterapia en el tratamiento de pacientes con Cáncer de Pulmón de células no pequeñas (NSCLC) portadores de metástasis cerebral. Se indica tratamiento con quimioterapia, más radioterapia y anticuerpo monoclonal Nimotuzumab, con el cual se encuentra hasta la fecha.
Recibió el primer ciclo de quimioterapia el 27 de noviembre de 2012 esquema cisplatino-vinblastina por seis ciclos sin presentar complicación. Termina el ciclo el 18 de marzo de 2013. Radioterapia sobre el pulmón y holocraneal (60Gy y 30Gy) y Nimotuzumab (Hr3): 200mg (vía endovenosa) semanal durante la radioterapia y posteriormente quincenal hasta la actualidad.
En estudios evolutivos posteriores al tratamiento con quimioterapia, más radioterapia sobre el pulmón y cráneo, se observó una buena respuesta al tratamiento, donde desapareció la lesión de cráneo ubicada en el hemisferio cerebeloso izquierdo, persistiendo solo la fronto-parietal y la lesión del tórax en diámetros menores, que se han mantenido estables hasta la actualidad, evidenciándose por imágenes, recibiendo solamente tratamiento con Nimotuzumab. Es de destacar que mantiene una buena calidad de vida, con buena evaluación de su estado funcional, según escala del Grupo Cooperativo de Oncología (ECOG 0). (11)
Algunos estudios evolutivos hasta la actualidad
TAC simple de cráneo y tórax, 9 de abril de 2013
Cráneo: no hay signo de metástasis.
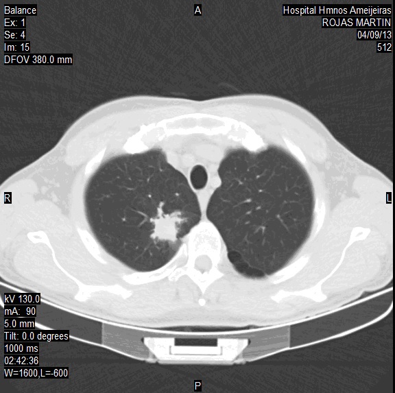
Tórax:en la parte interna de vértice derecho nódulo infiltrante que mide 2 x 2,2 cm (imagen 2A).
IMAGEN 2A. TAC de tórax: 9 de abril de 2013

TAC simple de cráneo y tórax 30 de octubre de 2014
Cráneo: no hay signo de metástasis.
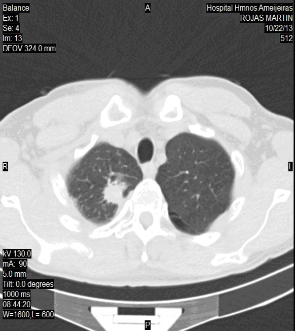
Tórax: en la parte interna de vértice derecho nódulo infiltrante que mide 2 cm, signos de fibrosis por RTP. Dilataciones bronquiales regionales. No otras lesiones pleuro-pulmonares ni óseas (imagen 2B).
IMAGEN 2B. TAC de tórax: 30 de octubre de 2014

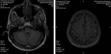
RNM de cráneo endovenoso (EV), 22 de agosto de 2014: se realizan cortes axiales FLAIR y sagitales, apreciándose en la región fronto-parietal izquierda alta una lesión que mide aproximadamente 15 x 12 mm (imagen 3).
IMAGEN 3. RNM de cráneo EV: 22 de agosto de 2014

DISCUSIÓN
El tratamiento óptimo para los pacientes con metástasis al cerebro continúa evolucionando, los corticosteroides, los anticonvulsivos, la radioterapia, la cirugía y la radiocirugía están incorporados al tratamiento de dicha enfermedad, pero lamentablemente la mayoría de los casos de metástasis en cerebro comprende metástasis múltiples y la práctica actual es tratar estas lesiones con radioterapia a todo el cerebro. El tratamiento quirúrgico es útil para la resección de una metástasis única y hasta tres abordables quirúrgicamente y de lesiones grandes sintomáticas o potencialmente mortales. La función de la radiocirugía sigue definiéndose, es útil como reemplazo del tratamiento quirúrgico en pacientes con lesiones de un diámetro inferior a 3 cm. Por lo general la quimioterapia no es el tratamiento primario para la mayoría de los pacientes, pero desempeña funciones como terapia adyuvante en el tratamiento de pacientes con metástasis cerebrales de tumores quimiosensibles y como tratamiento paliativo. Aun así, no se ha logrado identificar un tratamiento oncoespecífico, que aumente la supervivencia o mejore notablemente la calidad de vida de este tipo de pacientes. (5) Aproximadamente entre el 40 y el 80 % de los CPCNP sobre-expresan el EGFR.
El Nimotuzumab, o h-R3, es un anticuerpo humanizado contra el receptor del factor de crecimiento epidérmico (EGF-R), generado mediante el trasplante de las regiones determinantes de la complementariedad o regiones hipervariables del anticuerpo murinoioregf/r3, en un marco de soporte de una inmunoglobulina humana. El anticuerpo humanizado es capaz de reconocer al receptor con afinidad similar a sus ligandos (10-9M), se une al dominio extracelular del receptor del EGF-R con alta afinidad e inhibe fuertemente la vía de señalización asociada a este receptor. (2, 3)
Los estudios preclínicos y clínicos demostraron que la respuesta antitumoral puede estar mediada por mecanismos anti-proliferativos y anti-angiogénicos. Se demostró que el Nimotuzumab es capaz de inducir arresto del ciclo celular en la Fase G1/S.
También se demostró que el Nimotuzumab, exhibe una actividad anti-angiogénica mediada por la supresión del VEGF. Los resultados in vivo corroboraron esta teoría, ya que la regulación negativa del VEGF estuvo aparejada al decrecimiento de la densidad de los vasos sanguíneos. Además de la reducción en la vascularidad, los tumores tratados con Nimotuzumab en los ratones xenotrasplantados exhibieron un aumento significativo en la apoptosis. (10, 12)
El anticuerpo monoclonal (AcM) humanizado Nimotuzumab (TheraCIM h-R3), al igual que el Cetuximab, es un anticuerpo específico contra el dominio extracelular del REGF.
Este medicamento ha resultado muy seguro. Los eventos adversos relacionados con su administración que se han presentado con más frecuencia son: temblores, cefalea, vómitos, fiebre, anemia, hipertensión, hipotensión, escalofríos, rash cutáneo y enrojecimiento facial. Estas reacciones se han clasificado como grado 1 o 2 en su mayoría, según la tabla de Criterios Comunes de Toxicidad (CTC versión 3.0).
Existen algunas evidencias del uso del Nimotuzumab en CPCNP avanzado, que se discuten a continuación.
Beb et al (13) llevaron a cabo un ensayo clínico fase I, multicéntrico, abierto en pacientes canadienses con CPCNP avanzado, que al diagnóstico no eran elegibles para recibir quimioterapia y solo eran tributarios de radioterapia con intención paliativa. Este estudio fue diseñado para determinar la viabilidad de adicionar la administración de Nimotuzumab a la radioterapia torácica paliativa. Fueron incluidos 18 pacientes con diferentes etapas clínicas (IIIA, IIIB o IV) y se asignaron a recibir: 100, 200 y 400 mg de Nimotuzumab semanalmente durante ocho semanas concurrentes con la radioterapia. Con este esquema de tratamiento se obtuvieron tasas de respuesta objetiva y de control de la enfermedad de 66 y 96 %, respectivamente. El tiempo medio de supervivencia alcanzado compara con los resultados históricos. No se encontró toxicidad limitante de dosis para esta combinación terapéutica, tampoco apareció rash cutáneo severo o reacciones alérgicas asociadas.
Otro estudio fase I, monocéntrico, abierto, fue realizado por Choi et al (14) con Nimotuzumab combinado con radioterapia, en pacientes coreanos con CPCNP no elegibles para tratamiento radical. Se incluyeron 15 pacientes con confirmación histológica de CPCNP en etapa clínica IIB-IV, en tres niveles de dosis de Nimotuzumab (100, 200 y 400 mg). Se administró el anticuerpo monoclonal con frecuencia semanal durante ocho semanas, combinado con radioterapia paliativa (30-36Gy). La tasa de respuesta objetiva y de control de la enfermedad alcanzadas fueron: 46,7 y 100 %, respectivamente. Los eventos adversos más frecuentes fueron linfopenia y anemia, de intensidad leve y moderada en la mayoría de los casos. Este estudio demuestra la tolerabilidad de combinar el Nimotuzumab con la radioterapia en este tipo de pacientes.
Experiencia pos comercial en la indicación de tumores avanzados de cabeza y cuello
En Cuba se realizó un estudio clínico observacional para evaluar el tratamiento combinado de nimotuzumab y radioterapia y de nimotuzumab y QRT, en pacientes con tumor avanzado de cabeza y cuello. En este estudio se estimó una tasa de supervivencia a 48 meses del 62 %. (15) En un análisis de supervivencia, según el número de dosis de nimotuzumab recibidas, se observó que los pacientes que tomaron solamente el tratamiento de inducción (6 dosis) alcanzaron una mediana de supervivencia de 12,3 meses. (16) Ese tiempo fue equivalente al descrito en estudios previos a su registro, en los que se aplicó un régimen terapéutico idéntico, de solo seis dosis en combinación con radioterapia (12,5 meses y 14,4 meses). (17, 18) En los pacientes a quienes se les continuó el tratamiento del monoclonal como mantenimiento más allá de seis dosis no se alcanzó la mediana. (19) Este resultado sirvió de fundamento para proponer la extensión de la posología del nimotuzumab como mantenimiento.
Evaluación clínica en otras indicaciones oncológicas
Por las potencialidades terapéuticas en tumores malignos de origen epitelial, el nimotuzumab se evalúa en otras afecciones oncológicas, como tumores gástricos, colorrectales, carcinoma hepático, de páncreas, cáncer de mama, de cérvix y próstata y meningiomas malignos. (20, 21)
Con las anteriores evidencias se considera que el empleo del Nimotuzumab, siendo usado tanto en segunda línea de tratamiento (pacientes progresores) como en mantenimiento de cambio (pacientes con respuesta o enfermedad estable), podrá aportar un beneficio clínico a los pacientes con diagnóstico de carcinoma de pulmón no células pequeñas.
A diferencia de las terapias citotóxicas tradicionales, como la quimioterapia y la radioterapia, las terapias actuales, basadas en blancos moleculares bien definidos, requieren de una elevada precisión y es necesario conocer en detalle cuáles son los blancos vitales capaces de afectar la biología de los tumores y que, por tanto, no deben ser omitidos. Esta necesidad de optimizar las intervenciones inmunoterapéuticas ha inducido la búsqueda de marcadores confiables, que permitan predecir de forma temprana la evolución de los pacientes, así como seleccionar poblaciones de pacientes que pudieran resultar más beneficiadas con un tratamiento determinado.
Con esta presentación se evidencia una vez más que el uso combinado de nimotuzumab y radioterapia holocraneal, seguido de monoterapia con nimotuzumab, logra una respuesta objetiva, con supervivencia prolongada y buena calidad de vida.
Al igual que el cetuximab, el nimotuzumab ha mostrado un potente efecto antitumoral, tanto in vitro como en modelos preclínicos, basado en sus capacidades antiproliferativas, antiangiogénicas y proapoptóticas.
REFERENCIAS BIBLIOGRÁFICAS:
1. Akashi Y, Okamoto T, Iwasa T, Yoshida T, Suzuki M, Hatashita E. Enhancement of the antitumor activity of ionising radiation by Nimotuzumab, a humanised monoclonal antibody to the epidermal growth factor receptor, in non-small cell lung cancer cell lines of differing epidermal growth factor receptor status. Br J Cancer [revista en internet]. 2008 [citado 29 de octubre 2015]; 98: 749-55. Disponible en: http://www.nature.com/bjc/journal/v98/n4/abs/6604222a.html.
2. Ministerio de Salud Pública. Anuario Estadístico de Salud 2014 [en línea]. Cuadro 44. La Habana; 2015. p. 66 [citado 29 de octubre 2015]. Disponible en: http://files.sld.cu/bvscuba/files/2015/04/anuario-estadistico-de-salud-2014.pdf.
3. M. Reck, S. Popat, N. Reinmuth, et al. Metastatic non-small-cell lung cancer (NSCLC): ESMO Clinical Practice Guidelines for diagnosis, treatment and follow-up. Annals of Oncology [revista en internet]. 2014 [citado 29 de octubre 2015]; 199: 1–13. Disponible en: http://annonc.oxfordjournals.org/content/early/2014/08/11/annonc.mdu199.short.
4. Jemal A, Siegel R, Xu J, Ward E. Cancer statistics. CA Cancer J Clin [revista en internet]. 2010 [citado 29 de octubre 2015]; 60(5): 277–300. Disponible en: http://onlinelibrary.wiley.com/doi/10.3322/caac.20073/pdf.
5. Athanasios G. Pallis, Kostas Syrigos. Targeted (and chemotherapeutic) agents as maintenance treatment in patientswith metastatic non-small-cell lung cancer: Current status and future challenges. Cancer Treat Reviews [revista en internet]. 2012 [citado 29 de octubre 2015]; 38(7): 861–867. Disponible en: http://www.sciencedirect.com/science/article/pii/S0305737211002556.
6. Custodio A, Mendez M, Provencio M. Targeted therapies for advanced non-small-cell lung cancer: Current status and future implications. Cancer Treatment Reviews [revista en internet]. 2012 [citado 29 de octubre 2015]; 38(1): 36–53. Disponible en: http://www.sciencedirect.com/science/article/pii/S0305737211000636.
7. Barker AJ, Gibson KH, Grundy W, Godfrey AA, Barlow JJ, Healy MP, et al. Studies leading to the identification of ZD1839 (IRESSA): an orally active, selective epidermal growth factor receptor tyrosine kinase inhibitor targeted to the treatment of cancer. Bioorg Med ChemLett [revista en internet]. 2001 [citado 29 de octubre 2015]; 11(14): 1911-4. Disponible en: http://www.sciencedirect.com/science/article/pii/S0960894X01003444.
8. Norman P. OSI-774 OSI Pharmaceuticals. Curr Opin Investig Drugs [revista en internet]. 2001 [citado 29 de octubre 2015]; 2(2): 298-304. Disponible en: http://europepmc.org/abstract/med/11816847.
9. Hua-qing W, Yangang R, Zheng-zi Q, Kai F, Hui-lai Z, Wei Li, et al. Nimotuzumab combined with gemcitabine and cisplatin as second-line chemotherapy for advanced non-small-cell lung cancer. Thoracic Cancer [revista en internet]. 2012 [citado 29 de octubre 2015]; 3(1): 72–78. Disponible en: http://onlinelibrary.wiley.com/doi/10.1111/j.1759-7714.2011.00083.x/full.
10. Díaz A, Lage A. Terapias con inhibidores del receptor del factor de crecimiento epidérmico: acercando el futuro. Biotecnología Aplicada [revista en internet]. 2007 [citado 29 de octubre 2015]; 24(1): 1-9. Disponible en: http://elfosscientiae.cigb.edu.cu/PDFs/Biotecnol%20Apl/2007/24/1/BA002401RV001-009.pdf.
11. Vicente Pardo JM. Impacto del dolor en la incapacidad laboral. Metodología de valoración. Grados funcionales de limitación. Med Segur Trab [revista en internet]. 2014, Enero-marzo [citado 29 de octubre 2015]; 60(234): 133-142. Disponible en: http://scielo.isciii.es/pdf/mesetra/v60n234/inspeccion3.pdf.
12. Ramakrishnan MS, Eswaraiah A, Crombet T, Piedrac P, Saurez G, Iyer H, et al. Nimotuzumab, a promising therapeutic monoclonal for treatment of tumors of epithelial origin. MABS [revista en internet]. 2009, Enero [citado 29 de octubre 2015]; 1(1): 41-48. Disponible en: http://www.tandfonline.com/doi/abs/10.4161/mabs.1.1.7509.
13. Bebb G, Smith C, Rorke S, Boland W, Nicacio L, Sukhoo R., Brade A. Phase I clinical trial of the anti-EGFR monoclonal antibody nimotuzumab with concurrent external thoracic radiotherapy in Canadian patients diagnosed with stage IIb, III or IV non-small cell lung cancer unsuitable for radical therapy. Cancer Chemother. Pharmacol [revista en internet]. 2011 [citado 29 de octubre 2015]; 67(4): 837-45. Disponible en: http://link.springer.com/article/10.1007/s00280-010-1379-9.
14. Hye Jin Choi, Joo Hyuk Sohn, Chang Geol Lee, Hyo Sub Shim, Ik-Jae Lee, Woo Ick Yang. A phase I study of nimotuzumab in combination with radiotherapy in stagesIIB-IV non-small cell lung cancer unsuitable for radical therapy: Korean results. Lung Cancer [revista en internet]. 2011 [citado 29 de octubre 2015]; 71(1): 55-59. Disponible en: http://www.sciencedirect.com/science/article/pii/S0169500210001698.
15. Macias A. et al. Uso del AcM hR3 y radioterapia en el tratamiento de pacientes con cáncer de pulmón de células no pequeñas (CPCNP) portadores de metástasis cerebral. IIC RD-EC079. Informe Final. 2010.
16. Crombet T. et al. Programa Uso Clínico Expandido. Evaluación de la supervivencia de pacientes con tumores avanzados de pulmón de células no pequeñas tratados con el anticuerpo monoclonal anti-EGFR nimotuzumab. Informe Final. 2010.
17. Rodriguez MO, Rivero TC, del Castillo Bahi R, Muchuli CR, Bilbao MA, Vinageras EN, et-al. Nimotuzumab plus radiotherapy for unresectable squamous-cell carcinoma of the head and neck. Cancer BiolTher [revista en internet]. 2010 [citado 19 de noviembre 2015]; 9(5): 343-9. Disponible en: http://ncbi.nlm.nih.gov/pubmed/www.20448462.
18. Ramakrishnan MS, Eswaraiah A, Crombet T, Piedra P, Saurez G, Iyer H, et al. Nimotuzumab, a promising therapeutic monoclonal for treatment of tumors of epithelial origin. MABS [revista en internet]. 2009 [citado 19 de noviembre 2015]; 1(1): 41-8. Disponible en: http://www.ncbi.nlm.nih.gov/pmc/articles/PMC2715181/.
19. Saurez-Martínez Giselle, Bencomo-Yanes Anamary. Nimotuzumab, effective immunotherapy for the treatment of malignant epithelial tumors. Biotecnol Apl [revista en internet]. 2014 Jun [citado 19 de noviembre 2015]; 31(2): 159-167. Disponible en: http://scielo.sld.cu/scielo.php?script=sci_arttext&pid=S1027-28522014000200007&lng=es.
20. Boland W, Bebb G. The emerging role of nimotuzumab in the treatment of non-small cell lung cancer. Biologics [revista en internet]. 2010 [citado 19 de noviembre 2015]; 4:289-98. Disponible en: http://www.ncbi.nlm.nih.gov/pmc/articles/PMC2990321/.
21. World Health Organization [Internet]. International Clinical Trials Registry Platform (ICTRP). 2013. Geneva: WHO [citado 19 de noviembre 2015] Disponible en: http://www.who.int/ictrp/en/.
Recibido: 12 de agosto de 2015
Aprobado: 21 de septiembre de 2015
Haslen Hassiul Cáceres Lavernia. Especialista de Primer Grado en Oncología. Correo electrónico: haslen.caceres@infomed.sld.cu.