PRESENTACIÓN DE CASO
Articulación coracoclavicular en paciente con cervicobraquialgia
Coracoclavicular joint in a patient with cervicobrachialgy
Dr. Eraclio Delgado Rifá*, Dr. Héctor Gabriel Díaz Carrillo**, Dra. Mariela Beatriz Velázquez Pupo***
*Especialista de Segundo Grado en Ortopedia y Traumatología. Máster en Medicina Natural y Tradicional. Profesor Asistente. **Especialista de Segundo Grado en Ortopedia y Traumatología. Máster en Longevidad Satisfactoria. Profesor Auxiliar. Hospital General Docente “Dr. Ernesto Guevara de la Serna”. ***Especialista de Primer Grado en Medicina General Integral. Centro Provincial de Atención al Paciente Diabético. Las Tunas, Cuba. Correspondencia a: Dr. Eraclio Delgado Rifá, eraclio@ltu.sld.cu.
RESUMEN
La articulación coracoclavicular es una rara anomalía del hombro; se describe como una articulación sinovial diartrósica entre la clavícula y el proceso coracoideo. Se presenta el caso de una paciente de 49 años de edad, estomatóloga de profesión, que acudió a consulta por dolor en el hombro derecho, con estudio radiográfico que mostró la existencia de una articulación entre el tubérculo conoideo de la clavícula y la superficie superior de la parte horizontal de la apófisis coracoides de la escápula, que posteriormente, al realizar una vista comparativa del hombro contralateral se confirmó la bilateralidad de la anomalía y se infirió que podía ser la causa del dolor. Posteriormente, en exámenes complementarios realizados por la persistencia y modificación de sus síntomas, se constataron evidencias clínicas de una cervicobraquialgia, se concluyó finalmente, clínica y radiológicamente, como una espondilosis cervical, con presencia de acentuados cambios degenerativos, fundamentalmente a nivel de los espacios C5, C6 y C7, lo cual justificaba su sintomatología. La paciente fue tratada por métodos conservadores intensivos, con una evolución satisfactoria a mediano plazo. La presencia de la articulación coracoclavicular generalmente constituye un hallazgo radiográfico casual, como en este caso, y la variedad sintomática de esta anomalía es excepcional.
Palabras clave: ARTICULACIÓN CORACOCLAVICULAR; APÓFISIS CORACOIDES; TUBÉRCULO CONOIDEO; CLAVÍCULA.
Descriptores: CLAVÍCULA; ARTICULACIÓN DEL HOMBRO; ARTICULACIÓN ACROMIOCLAVICULAR; DOLOR DE HOMBRO; ESCÁPULA.
SUMMARY
The coracoclavicular joint is a rare anomaly of the shoulder; it is described as a diarthrosic synovial joint between the clavicle and the coracoid process. This is a case of a 49-year-old dentist patient who came to the hospital complaining of pain on the right shoulder with an X-ray study that showed an anomalous joint between conoid tubercle of the clavicle and the upper surface of the horizontal part of the coracoid apophysis of the scapula. A comparative shoulder view was done and showed the bilateral presence of the anomaly, making inferences that the pain on the shoulder could be caused by this joint anomaly. Subsequent X-rays of cervical spine were done, due to the persistent pain and they showed marked degenerative changes on C5, C6 and C7 spaces. The final diagnosis was cervical spondylosis. The patient was treated with an intensive conservative treatment and the progressing was satisfactory in midterm period. Coracoclavicular joint is a rare anomalous joint and it was an accidental radiological finding, in this case and in most of the patients. The existence of the coracoclavicular joint is a fortuitous radiographic finding, as it is in this case, and the symptomatic variety of this anomaly is exceptional.
Key words: CORACOCLAVICULAR JOINT; CORACOID PROCESS; CONOID TUBERCLE; CLAVICLE.
Descriptors: CLAVICLE; SHOULDER JOINT; ACROMIOCLAVICULAR JOINT; SHOULDER PAIN; SCAPULA.
INTRODUCCIÓN
Una articulación sinovial diartrósica, entre el tubérculo conoideo de la clavícula y la superficie superior de la parte horizontal de la apófisis coracoides de la escápula (articulación coracoclavicular), fue descrita por primera vez al final del siglo XIX por Gruber, en 1861. (1-3) En los años subsecuentes, algunos estudios (2, 3, 4) reportaron casos esporádicos de esta anomalía en radiografías de tórax, y en investigaciones llevadas a cabo en esqueletos, y determinaron el predominio de esta unión anómala en asiáticos en relación a otras razas. Con el tiempo, interesados en las causas de su desarrollo, observaron que su incidencia era baja y que en la mayoría de los casos esta anomalía se presentó de forma bilateral. (3, 5)
Los movimientos de la cintura escapular humana son el resultado de la interacción compleja de las articulaciones glenohumeral, acromioclavicular, esternoclavicular y escapulotorácica. La clavícula, aparte de la articulación con la escápula y el esternón, también está conectada con la primera costilla por el ligamento costoclavicular y con el proceso coracoideo por el ligamento coracoclavicular. (6, 7) Ocasionalmente, la zona de unión de estos ligamentos de la clavícula, la primera costilla y la escápula muestran procesos facetarios que sugieren la existencia de estas inusuales articulaciones diartrodiales. (2) En la bibliografía revisada aparece el reporte de dos clavículas, uno del lado derecho y otra del lado izquierdo, las dos presentaron procesos facetarios para las articulaciones costoclavicular y coracoclavicular simultáneamente, lo cual es un fenómeno más raro aún. (2)
PRESENTACIÓN DEL CASO
Paciente de 49 años de edad, estomatóloga de profesión, que acudió a consulta remitida de su área primaria de salud por dolor en el hombro derecho de varios días de evolución, que no mejoró con tratamiento sintomático habitual, el dolor se irradiaba a todo el miembro con sensación de cansancio del mismo. Como datos positivos en el examen físico inicial, solo se encontró dolor a la abducción del miembro por encima de los 90 grados y dolor a la palpación en el ángulo superior e interno de la escápula y en la zona de la espina escapular; lo cual sugirió el diagnóstico de una tendinitis del músculo supraespinoso, como consecuencia de los ejercicios continuados en posiciones inadecuadas, que son necesarios realizar para el desempeño de su profesión. En general, le fue indicado el reposo de la extremidad en cabestrillo, el calor local intermitente, medicamentos analgésicos y antinflamatorios orales. En las próximas consultas la paciente continuó con el mismo cuadro sintomático, pero asociado a irradiación del dolor a la región escapular y cervical, se le indicó un estudio radiográfico del hombro, el cual solo mostraba la presencia de una articulación entre la porción inferior y distal de la clavícula y la parte superior del apófisis coracoides de la escápula, un hallazgo inusual que hizo necesaria la exploración radiológica comparativa con el hombro contralateral, observándose la misma imagen (imagen 1).
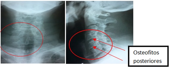
En el examen físico se buscó la presencia de dolor a la palpación de esa región anatómica y resultó negativo (imagen 2). Esta paciente permaneció muy sintomática a pesar del tratamiento, se añadía parestesias, fatiga del miembro y dolor cervical acentuado, con la misma irradiación a la región escapular y al miembro del mismo lado. El caso fue evaluado en el grupo básico de trabajo, con el diagnostico presuntivo de una cervicobraquialgia a determinar la etiología; se indicaron radiografías de columna cervical, que mostraron rectificación de la lordosis cervical, con la presencia de moderados a severos cambios degenerativos a predominio de los espacios C5, C6 y C7, con marcado estrechamiento del espacio articular, esclerosis subcondral, osteofitos posteriores (imagen 3), lo cual justificaba su sintomatología. Se concluyó clínica y radiológicamente como una radiculopatía cervical espondilótica, consecutiva a una espondilosis cervical degenerativa, se indicó tratamiento conservador medicamentoso y fisioterapéutico intensivo, incluyendo la medicina tradicional, con evolución satisfactoria a mediano plazo.
Se demostró que la imagen observada en las radiografías de hombro se correspondió con la presencia de una articulación coracoclavicular y que el hallazgo fue fortuito e inusual, pues no era la causa del dolor en esta paciente.
IMAGEN 1. Radiografías AP de hombro (estudio comparativo)

IMAGEN 2. Examen físico

IMAGEN 3. Rx en dos vistas columna cervical

DISCUSIÓN
El proceso coracoideo y la porción distal de la clavícula están unidos por los ligamentos conoides y trapezoide. Ambos ligamentos son separados por una bursa o tejido graso. (6, 7) Las falsas articulaciones en esta región pueden ocurrir por metaplasia del fibrocartílago de estos ligamentos en la clavícula, o en el proceso coracoideo, o por aposición ósea u osificación de los mismos cuando ocurren traumatismos importantes con arrancamientos de estas estructuras. (2)
La verdadera articulación coracoclavicular es una articulación sinovial, que se forma entre el proceso conoideo de la clavícula y la parte horizontal superior de la apófisis coracoides de la escápula y se puede presentar en humanos. (2, 3, 5) Esta inusual articulación se ha estudiado extensamente, mediante estudios anatómicos, osteológicos e investigaciones radiográficas. Hay diferentes interrogantes sobre el tema entre los diferentes autores que se han dedicado al estudio de esta entidad. (3-5)
Si las características antropométricas de la clavícula y escápula pueden condicionar el desarrollo de la articulación coracoclavicular, todavía es una cuestión para la discusión. (1, 3, 5) Gumina, Salvatore y colaboradores, (5) en el 2002, examinaron 1020 clavículas secas de cadáveres de origen italiano. De las 1020 clavículas solo ocho (0,8 %) desplegó la faceta articular de la articulación coracoclavicular. (5) Ninguna correlación estadística se encontró entre la longitud clavicular, ni el índice de sinuosidad de la curva lateral anterior de la clavícula, dada por la distancia entre el tubérculo conoideo y la apófisis coracoides. Se concluyó que el predominio de esta unión en las clavículas estudiadas fue bajo y que, además, no es condicionada por la longitud o sinuosidad de la clavícula. Finalmente, se sugirió como un factor predisponente para los cambios degenerativos de las articulaciones distal y proximal de la clavícula. (5) Cho & Kang (1998) (3) ya había planteado las mismas conclusiones en su estudio de 102 cadáveres, las cuales coincidieron con los resultados anteriores,
La articulación coracoclavicular es un hallazgo raro y, según algunos estudios sobre el tema (1, 2, 3, 5), es un descubrimiento incidental raramente sintomático. Sin embargo, en la revisión realizada, se reporta la existencia de casos sintomáticos, (4, 8-10) en los cuales el síntoma más común es el dolor del hombro. En la actualidad no está completamente claro si dicha articulación sufre cambios artríticos; este hecho pudiera sugerir la causa del dolor. (6, 9, 10) Por otro lado, dada la proximidad muy íntima de esta articulación al tronco principal del plexo braquial, la deformación degenerativa podría ser responsable de la presencia del síndrome cervicobraquial, fundamentalmente cuando aparecen osteofitos marginales. Para algunos autores, (4, 6-8) aunque estos cambios degenerativos o la ocurrencia de traumatismos a este nivel podrían desencadenar dolor en esta zona, al aumentar la fricción y la tensión en el espacio subcoracoideo, siempre habrá que descartar en estos pacientes afecciones de la región cervical, como en el caso que se presenta, en el cual la etiología del dolor resultó de su afección cervical y la presencia de la articulación coracoclavicular fue solo un hallazgo casual de interés puramente académico.
La rareza de esta afección puede llevar a un diagnóstico tardío de la misma en casos sintomáticos, por falta de conocimiento acerca de la misma en la comunidad ortopédica. El tratamiento de primera línea es conservador, con una proporción de éxito muy baja. La intervención quirúrgica con excisión de la articulación anómala, cuando es sintomática, tiene una proporción de éxito de un 100 %. (4, 8-10)
REFERENCIAS BIBLIOGRÁFICAS:
1. Nehme L, Tricoire JL, Colombier DM, Giordano G, El Feghaly M, Puget J. Bilateral coracoclavicular joint. Eur J Orthop Surg Traumatol [revista en internet]. 1998 [citado 13 de noviembre 2015]; 8(4): 179-181. Disponible en: http://link.springer.com/article/10.1007/BF01681656.
2. Rani A, Mishra Suniti R, Chopra J, Rani A, Manik P, Kumar Navneet, et al. Coracoclavicular and Costoclavicular Joints at a Common Juncture: A Rare Phenomenon. Int. J. Morphol [revista en internet]. 2009, Dic [citado 13 de noviembre 2015]; 27(4): 1089-1092. Disponible en: http://www.scielo.cl/scielo.php?script=sci_arttext&pid=S0717-95022009000400022&lng=es
3. Cho BP, Kang HS. Articular facets of the coracoclavicular joint in Koreans. Acta Anat [revista en internet]. 1998 [citado 13 de noviembre 2015]; 163(1): 56-62. Disponible en: http://www.ncbi.nlm.nih.gov/pubmed/9852355.
4. Faraj AA. Bilateral congenital coracoclavicular joint. Case report and review of the literature [revista en internet]. 2003 [citado 13 de noviembre 2015]; 69(6): 552. Disponible en: http://www.ncbi.nlm.nih.gov/pubmed/14748114.
5. Gumina S, Salvatore M, De Santis P, Orsina L, Postacchini F. Coracoclavicular joint: osteologic study of 1020 human clavicles. J Anat [revista en internet]. 2002 [citado 13 de noviembre 2015]; 201(6): 513–519. Disponible en: http://www.ncbi.nlm.nih.gov/pubmed/?term=Coracoclavicular+joint%3A+osteologic+study+of+1020+human+clavicles.
6. Hekimoğlu B, Aydın H, Kızılgöz V, Tatar IG, Ersan O. Quantitative measurement of humero-acromial, humero-coracoid, and coraco-clavicular intervals for thediagnosis of subacromial and subcoracoid impingement of shoulder joint. Clin Imagining [revista en internet]. 2013 [citado 13 de noviembre 2015]; 37(2): 201-10. Disponible en: http://www.ncbi.nlm.nih.gov/pubmed.
7. Nakazawa M, Koizumi M, Nimura A, Sato T, Akita K. Functional aspects of the coracoclavicular space. Urg Radiol Anat [revista en internet]. 2011 [citado 13 de noviembre 2015]; 33(10): 913-8. Disponible en: http://www.ncbi.nlm.nih.gov/pubmed/?term=Functional+aspects+of+the++++++coracoclavicular+space.
8. Willekens I, De Maeseneer M, Boulet C, Verhelle F, De Mey J. Coracoclavicular joint with shoulder pain. JBR-BTR [revista en internet]. 2013 [citado 13 de noviembre 2015]; 96(1): 44. Disponible en: http://www.ncbi.nlm.nih.gov/pubmed/23610887.
9. Singh VK, Singh PK, Trehan R, Thompson S, Pandit R, Patel V. Symptomatic coracoclavicular joint: incidence, clinical significance and available management options. Int Orthop [revista en internet]. 2011 [citado 13 de noviembre 2015]; 35(12): 1821-6. Disponible en: http://www.ncbi.nlm.nih.gov/pubmed/21761150.
10. Gibbs S, Merriman JA, Sorenson E, Rick Hatch GF. Surgical excision of a symptomatic congenital coracoclavicular joint. Orthopedics [revista en internet]. 2014 [citado 13 de noviembre 2015]; 37(9). Disponible en: http://www.ncbi.nlm.nih.gov/pubmed/25350628.
Recibido: 26 de septiembre de 2015
Aprobado:3 de noviembre de 2015
Eraclio Delgado Rifá Especialista de Segundo Grado en Ortopedia y Traumatología. Máster en Medicina Natural y Tradicional. Profesor Asistente. Correo Electrónico:eraclio@ltu.sld.cu.