PRESENTACIÓN DE CASO
Dra. Maricel Sucar Batista*, Dr. Yanier Serrano García**, Dra. Taimí Miranda Vergara***
*Especialista de Primer Grado en Medicina General Integral y Dermatología. Máster en Enfermedades Infecciosas. Profesora Asistente. **Médico General Básico. Aspirante a Investigador. ***Residente de Primer Año en Urología. Hospital Universitario “Manuel Ascunce Domenech”. Camagüey, Cuba. Correspondencia a: Dr. Yanier Serrano García, correo electrónico: yaniersg@minas.cmw.sld.cu.
RESUMEN
La epidermólisis bullosa es un conjunto de enfermedades o trastornos de la piel transmitidos genéticamente y que se caracteriza por la aparición de ampollas, úlceras y heridas. Suele manifestarse al nacer o en los primeros meses de vida. Se presenta el caso de una paciente femenina, de 72 años de edad, que acude a consulta de dermatología con lesiones en piel de seis meses de evolución. Se realizó biopsia de piel, tomándose muestra para inmunofluorescencia directa e indirecta. Se diagnosticó epidermólisis bullosa adquirida, de etiología desconocida. Se inició tratamiento con colchicina a baja dosis, para luego aumentar, según tolerancia de la paciente y evolución de la enfermedad.
Palabras clave: EPIDERMÓLISIS BULLOSA ADQUIRIDA; DIAGNÓSTICO; TRATAMIENTO.
Descriptores: EPIDERMÓLISIS AMPOLLOSA ADQUIRIDA; ENFERMEDADES DE LA PIEL.
SUMMARY
Epidermolysis bullosa is a group of diseases or skin disorders genetically transmitted and it is characterized by the appearance of bullae, ulcers and skin wounds. It usually appears at birth or in the first months of life. This is a case of a 72-year-old female patient who comes to the dermatology department with skin lesions of 6 months of evolution. A skin biopsy was performed, taking a sample for direct and indirect immunofluorescence. Acquired epidermolysis bullosa of unknown etiology was diagnosed. Treatment was started with low-dose colchicine to increase it later, according to the patient’s tolerance and disease progression.
Key words: ACQUIRED EPIDERMOLYSIS BULLOSA; DIAGNOSIS; TREATMENT.
Descriptors: EPIDERMOLYSIS BULLOSA ACQUISITA; SKIN DISEASES.
INTRODUCCIÓN
La epidermólisis bullosa adquirida es una enfermedad ampollar autoinmune, rara, de etiología desconocida, caracterizada por la producción de auto-anticuerpos IgG contra el colágeno VII. (1-4)
El término epidermólisis bullosa adquirida fue propuesto por Elliot en 1895. En 1971 Roenigk fue el primero en señalar las diferencias clínicas e histológicas con la epidermólisis distrófica ampollar hereditaria. Es una patología poco frecuente, con una prevalencia de 0,2 por millón de habitantes. No existe predilección de raza o sexo. (4-6)
Se describen cinco variantes clínicas: clásica, similar al penfigoide ampollar, al penfigoide cicatrizal y el de Brunsting – Perry y similar a la dermatosis ampollar por IgA. En la primera variante, aparecen ampollas tensas, localizadas en piel no inflamadas, que muestra predilección por sitios proclives a traumatismos como dorso de las manos, nudillos, codos, rodillas, región sacra y dedos de los pies. Las lesiones curan con cicatrización y, a menudo, formación de quistes de milium. (6, 7) La presentación de esta presentación de caso se realizó con el objetivo de: exponer aspectos importantes sobre el diagnóstico, tratamiento y conducta a seguir ante un paciente con EBA.
PRESENTACION DEL CASO
Datos generales: paciente MRG femenina, blanca, de 72 años de edad.
Historia de enfermedad actual: paciente con antecedente de HTA, para la cual lleva tratamiento, encontrándose compensada. Acude a consulta de dermatología por referir lesiones de piel, a nivel de codos, dorso de las manos y pies, que describe como “burbujas de agua” de seis meses de evolución y sin síntomas acompañantes.
Examen físico dermatológico
Piel: cuadro cutáneo diseminado, constituido por lesiones ampollares, tensas, de contenido claro, en número y tamaño variable, que asienten sobre piel aparentemente normal, intercalándose con exulceraciones, costras hemáticas y quistes de milium, que asienten en codos, espalda, dorso de las manos, pies y periné (imagines 1, 2, 3).
Imagen 1. Lesiones ampollares en la espalda, se observan ampollas, exulceraciones y quistes de milium

Imagen 2. Lesiones ampollares en el codo, se observan ampollas, exulceraciones y quistes de milium

Imagen 3. Ampolla tensa en la región del codo

Imagen 4. Ampolla tensa en la mucosa oral

Mucosas: se observa ampolla redondeada, de contenido claro, de aproximadamente 0,5 cms de diámetro a nivel del dorso de la lengua (imagen 4).
Anejos: se aprecia onicodistrofia y anoniquia en manos y pies.
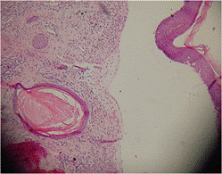
Exámenes realizados: se realiza biopsia de piel (imágenes 5 y 6), confirmándose el diagnóstico de epidermólisis bullosa adquirida, se realiza toma de muestra para inmunofluorescencia directa e indirecta y se inicia tratamiento con colchicina a razón de 1 mg por día, para luego aumentar la dosis según tolerancia de la paciente y evolución de la enfermedad.
Imagen 5. Ampolla subepidérmica, miilios e infiltrado linfohistiocitario en la dermis

Imagen 6. Se observa la ampolla subepidérmica y los quistes de milium

DISCUSIÓN
La epidermólisis bullosa adquirida se presenta mayormente en la edad adulta, usualmente en los de más de 50 años, y puede aparecer en todos los grupos raciales étnicos, afectando ambos sexos por igual. (4, 8)
El diagnóstico se corrobora con la realización de la biopsia de piel, (6, 7) aunque para hacer una correcta clasificación de epidermólisis bullosa adquirida se deben de realizar pruebas precisas, que se basan en la combinación de técnicas inmunohistológicas: microscopia electrónica, inmunofluorescencia directa y estudios de anticuerpos monoclonales, con objetivo de encontrar el gen 3p (21), que codifica la proteína del colágeno tipo Vll y los depósitos de IgG en la unión dermoepidérmica, ya que puede ser difícil desde el punto de vista clínico e histológico. (4)
La enfermedad suele ser crónica, de pronóstico variable, aunque sin peligro para la vida del paciente. El tratamiento es difícil y poco satisfactorio. (4, 7, 9) El empleo de colchicina ha resultado beneficioso en algunos pacientes, lo que, junto a sus mínimos efectos adversos, lo hacen un fármaco recomendable de primera elección. (2, 9) La epidermólisis bullosa adquirida es una rara enfermedad de la piel, por lo cual se debe realizar diagnóstico precoz, proporcionar un tratamiento oportuno y adecuado.
REFERENCIAS BIBLIOGRÁFICAS:
1. Moura EG, Couto-Júnior DS, Alvarado-Escobar H, da Costa-Martins B, Sallum RA, et al. Epidermólisis bullosa adquirida complicada por estenosis de esófago. Tratamiento endoscópico con sondas termoplásticas e inyección intralesional de corticoesteroide. Rev Gastroenterol Mex [revista en internet]. 2011 [citado 9 de noviembre 2015]; 76(03). Disponible en: http://www.revistagastroenterologiamexico.org/es/epidermolisis-bullosa-adquirida-complicada-por/articulo/X0375090611285228/.
2. De Argila D, Sáenz de Santamaría J. Epidermólisis ampollosa adquirida. Tratamiento combinado con inmunosupresores y dosis altas de gammaglobulina humana intravenosa. Actas Dermosifiliogr [revista en internet]. 1998 [citado 9 de noviembre 2015]; 89(7). Disponible en: http://www.actasdermo.org/es/epidermolisis-ampollosa-adquirida-tratamiento-combinado/articulo/13003355/.
3. Robledo Prada MA, Díaz LA. Conceptos recientes en la inmunopatología cutánea. Med Cutan Iber Lat Am [revista en internet]. 2003 [citado 9 de noviembre 2015]; 31(1): 3-16. Disponible en: http://www.medigraphic.com/pdfs/cutanea/mc-2003/mc031b.pdf.
4. Barreiro Capurro A, Mascaró Galy JM, Iranzo P. Estudio retrospectivo de las características clínicas, histológicas e inmunológicas en una serie de 9 pacientes con epidermólisis ampollosa adquirida. Actas. Dermosifiliogr [revista en internet]. 2013 [citado 9 de noviembre 2015]; 104(10). Disponible en: http://www.actasdermo.org/es/retrospective-study-of-the-clinical/articulo/90255631/?pubmed=true.
5. López González A, Pérez López T, Mojón Barcia M, Sordo Castro ML, Pérez Freire M. Paciente con epidermólisis bullosa en hemodiálisis. Rev Soc Esp Enferm Nefrol [revista en internet]. 2011 [citado 9 de noviembre 2015]; 14(2). Disponible en: http://scielo.isciii.es/scielo.php?pid=S1139-13752011000200010&script=sci_arttext.
6. De Peña Ortiz J, Chávez Bernal JM. Epidermolisis bulosa adquirida:Lo nuevo en biología molecular. Rev Cent Dermatol Pascua [revista en internet]. 2011 [citado 9 de noviembre 2015]; 20(2). Disponible en: http://www.medigraphic.com/pdfs/derma/cd-2011/cd112b.pdf.
7. Herrera E, Fernández A, Sanz A. Epidermólisis Ampollosa Adquirida. Dermatología: Correlación clínico-patológica [en línea]. Grupo Manarini. 2007 [citado 9 de noviembre 2015]. Disponible en: http://www.menarini.es/images/dermatopatologia/Derma038.pdf.
8. Castillo Romero E, López Benítez H, Fernández Barrera R, Cordovés Jerez M. Epidermólisis bulosa: una dermatosis poco conocida. Rev Ciencias Médicas Pinar del Río [revista en internet]. 2009 [citado 9 de noviembre 2015]; 13(2). Disponible en: http://scielo.sld.cu/scielo.php?pid=S1561-31942009000200028&script=sci_arttext.
9. Habif TP. Vesicular and bullous diseases. In: Habif TP. Vesicular and bullous diseases. ed. Clinical Dermatology. 5th ed. Philadelphia, PA: Elsevier Mosby; 2009.
Recibido: 23 de octubre de 2015
Aprobado: 1 de diciembre de 2015
Yanier Serrano García. Especialista de Primer Grado en Medicina General Integral y Dermatología. Máster en Enfermedades Infecciosas. Profesora Asistente, correo electrónico: yaniersg@minas.cmw.sld.cu